Zahnersatz: Unsere Leistungen

Jeder Mensch ist unterschiedlich und benötigt eine individuelle Behandlung. Welcher Zahnersatz der beste für Sie ist, hängt von Ihren persönlichen Bedürfnissen und Ihrer Ausgangssituation ab. Wir bieten Ihnen das komplette Spektrum der Zahntechnik – von den klassischen Ansätzen bis hin zu den modernsten digitalen Methoden.

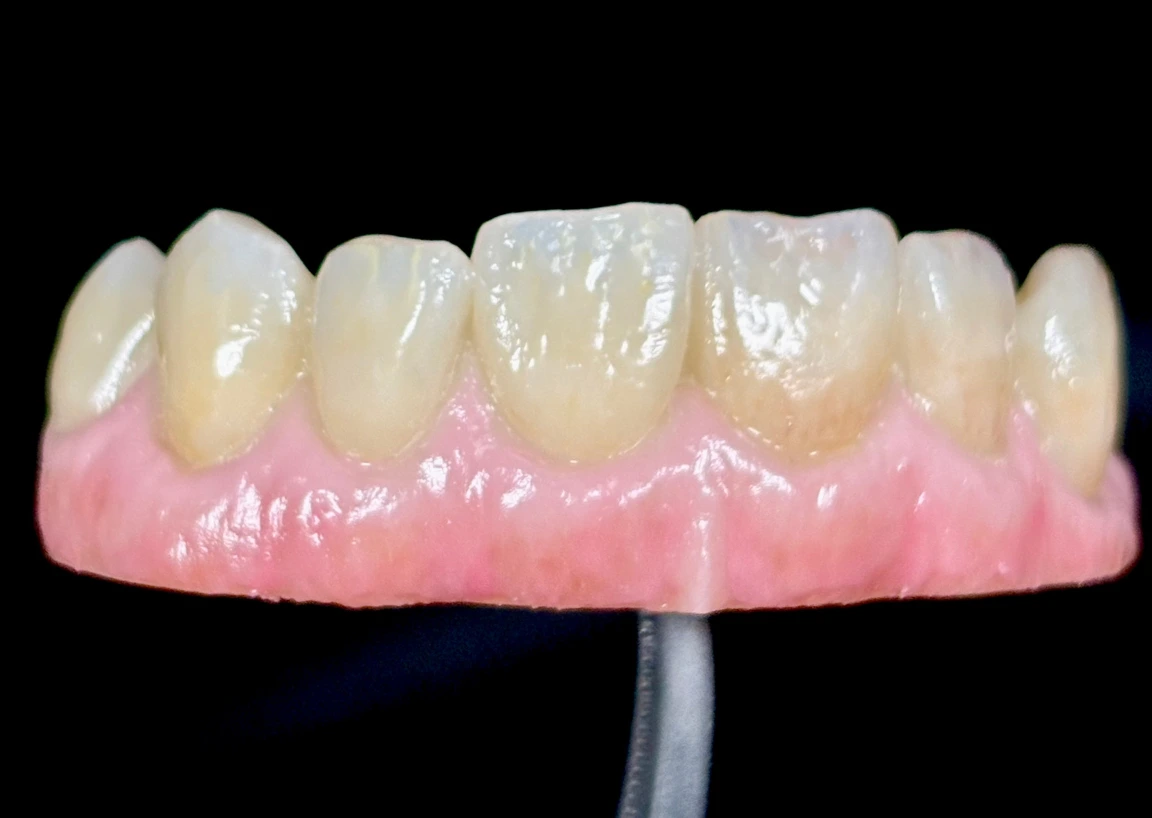
Welche Zahnersatzarten gibt es eigentlich?

Es wird unterschieden zwischen festsitzenden und herausnehmbaren Prothesen. Eine festsitzende Prothese wird entweder an den Zähnen befestigt oder als Zahnimplantat im Kiefer verankert. Dazu gehören Kronen, Brücken, Inlays oder Verblendschalen.

Bei dem herausnehmbaren Varianten handelt es sich um unterschiedliche Arten von Teil- oder Vollprothesen, wie zum Beispiel Schienen- oder Teleskopkronen.

Unser Angebotsspektrum umfasst folgende Möglichkeiten:

Festsitzender Zahnersatz

  • Implantatprothetik
  • Kronen und Brücken keramisch verblendet auf Zirkon- oder Metallgerüst
  • Kronen und Brücken monolitisch in Zirkon oder Lithium-Disilikat (zahnfarbig)
  • Inlays in Keramik oder Gold
  • Keramikveneers (Verblendschalen)

Herausnehmbarer Zahnersatz

  • Totalprothesen (auf Wunsch auch monomerfrei)
  • Teleskop- und Geschiebetechnik

Kiefergelenkstherapie

  • Gefräste Schienen aus Clearsplint (monomerfreier Kunststoff) oder herkömmlichem Kunststoff
  • COPA-Schienen (Craniomandibuläre Orthopädische Positionierungs-Apparatur)

Unsere Leistungen auf einen Blick

1

Farbauswahl für den Zahnersatz

Die Bestimmung Ihrer individuellen Zahngrundfarbe ist entscheidend für ein natürliches Erscheinungsbild. Die richtige Farbauswahl für die Herstellung des Zahnersatzes hat damit höchste Priorität. Die Zahnfarbbestimmung und Beratung werden in unserem Labor oder in der Zahnarztpraxis Ihrer Wahl vorgenommen.

2

Digitale Bilddokumentation

Dank digitaler Bilddokumentation haben wir die Möglichkeit, die einzelnen Behandlungsschritte fotografisch festzuhalten. Dies ermöglicht uns einen optimalen Austausch mit Ihrem Zahnarzt sowie die Präsentation Ihres gesamten Behandlungserfolges.

3

Fertigung des Zahnersatzes

Die Herstellung Ihres Zahnersatzes erfolgt in enger Zusammenarbeit mit Ihrem behandelnden Zahnarzt: Ihr neuer Zahnersatz wird bei uns im Labor gefertigt und Ihnen anschließend bei Ihrem Zahnarzt eingesetzt.

Micro-Layering